¿Qué es la hiperdoncia?

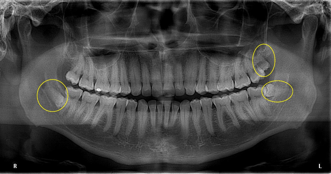
Nuestra dentadura tiene 20 piezas dentales cuando somos niños y 32 piezas en la edad adulta, incluidas las muelas del juicio. Sin embargo, algunos humanos tienen más piezas de las habituales, dientes llamados supernumerarios y patología conocida como hiperdoncia.

Solemos diferenciar entre dos tipos de hiperdoncia:

• Hiperdoncia simple: es la más común y solo se encuentra un diente supernumerario.


• Hiperdoncia múltiple: existen varios dientes supernumerarios.

La presencia de los dientes supernumerarios provoca una importante alteración funcional y estética en la boca, ya que impiden a los dientes numerarios crecer con normalidad e incluso a veces provoca que no erupcionen.

Horario de atención