Supernumerario - Reabsorción Radicular

En el caso de un diente supernumerario, es esencial conocer su ubicación precisa y su relación con otras estructuras dentales…

Fractura Radicular

Son lesiones más complejas debido a la afectación del cemento, de la dentina, la pulpa y el ligamento periodontal, es por esto que se realiza una evaluación clínica…

Estudio para implantes

La planificación para un implante dental comienza con una evaluación inicial del paciente, donde se recopilan datos sobre su historial médico y oral…

Fotografías Extra - Intra Orales

Las fotografías orales desempeñan un papel crucial en la evaluación y documentación de la salud oral de los pacientes…

Tratamiento Endodóntico

Antes de iniciar el procedimiento de retratamiento endodóntico, se realiza una evaluación clínica del paciente y se revisa la historia del tratamiento endodóntico previo…

¿Que ventajas presenta el TAC dental?

El dentista podrá hacer en el ordenador cortes bi y tridimensionales de las imágenes que obtiene. Le permitirá observar con detalle cualquier característica de la boca…

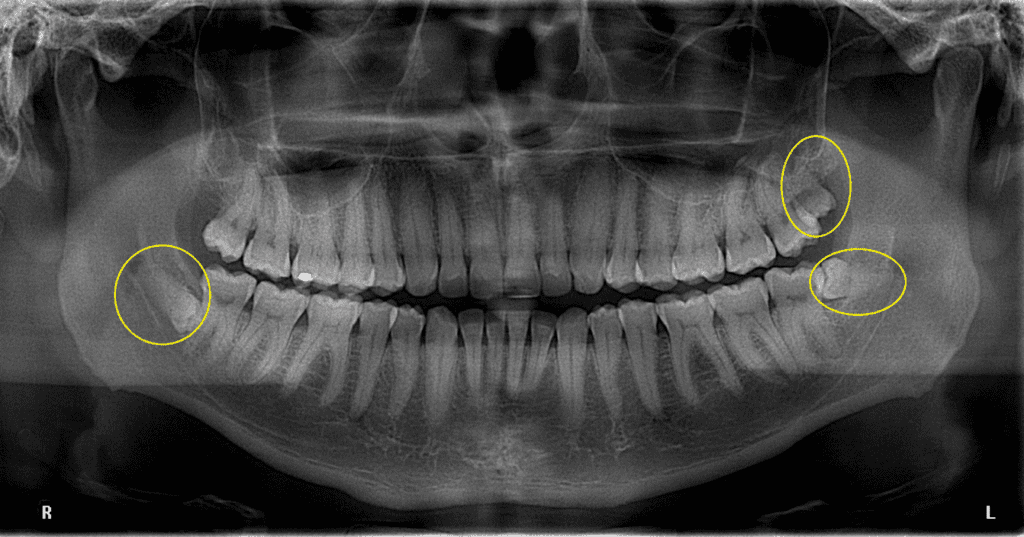
La Hiperdoncia

Nuestra dentadura tiene 28 piezas dentales cuando somos niños y 32 piezas en la edad adulta, incluidas las muelas del juicio. Sin embargo, algunos humanos tienen más piezas de las habituales…